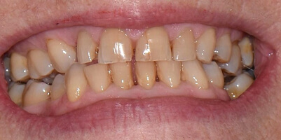
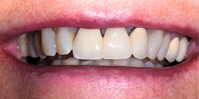
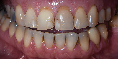
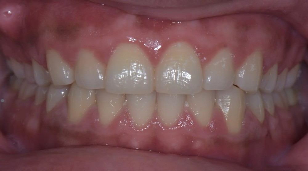
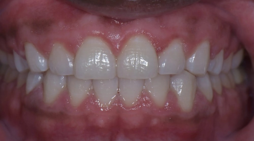
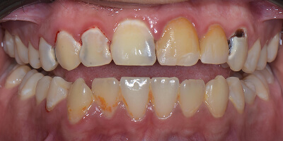
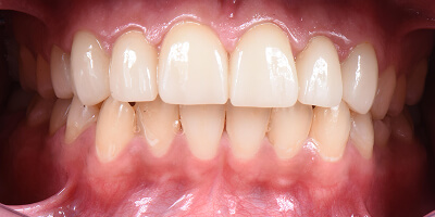
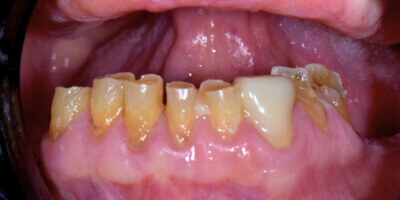
Dr. Rosa Hernandez & Her Dental Experience
Dr. Rosa Hernandez, DMD, is a highly skilled Dentist at Dentistry of North Port. With multiple years of experience and a degree from the University of Florida in 2018, she is dedicated to providing comprehensive treatment to help patients and boosting their confidence in their smiles.
Dr. Hernandez takes pride in working for Dentistry of North Port, where patient care is the top priority. She has fostered an office environment where patient needs come first, supported by a caring and knowledgeable team.























